
90后男人徐青(假名)因舌头动不了、嘴巴张不开,颈部出现硬块且越来越大前去病院就诊。经检查,他被确诊为左舌鳞状细胞癌,病灶已搬动到颈部,径直影响到颈部大动脉,手术风险极高。大夫揣摸,这可能与他宽泛咀嚼槟榔有很大干系。

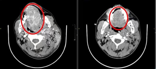
上海第九东谈主民病院口腔颌面-头颈肿瘤科接诊了这名33岁的患者。从发现舌头左侧有溃疡到来病院看病,前后仅2个多月时分。此时,患者的口腔溃疡不仅莫得愈合,反而赶快发展,彭胀到了悉数这个词舌头再到下颌,不仅舌头动不了,嘴巴也张不开,吃东西费事。肿瘤还从舌头搬动到了颈部,径直包住了左侧颈动脉,属于晚期高危病东谈主。

沟通到病情的严重性,胡永杰主任医师向科室主任何悦申诉,并协作多学科诊断,放疗、肿瘤内科等大家一同参与治愈决策的接头。多学科大家诊断后决定,先通过药物治愈减弱肿瘤,再进行根治性手术,后续再进行靶向治愈、免疫治愈和化疗等纠合治愈。

经由两个月的药物治愈,星空体育患者肿瘤彰着减弱后,手术施伸开展。在麻醉科、病理科、养分科、影像科等多学科大家的匡助下,手术历经10多个小时,患者顺利继承了左舌颌双颈纠合根治术,同时还完成了自体组织移植,进行舌和颈部设置手术。手术中切掉了4/5的舌头,并取患者大腿外侧皮肤肌肉血管组织进行修补,以减少术后并发症的风险。
手术治愈后,患者现在照旧出院。尽管术后在院依靠胃管鼻饲提供养分援救,但出院后不错缓缓收复到软质食品为主的饮食。大家团队冷漠患者一运转以流质食品摄入为主,待伤口愈合后再缓缓过渡到软质食品。
{jz:field.toptypename/}何悦指出,口腔癌是头颈部常见的恶性肿瘤,尤其在湖南、海南部分地区已成为日益严重的大众卫生问题。始终不愈的口腔溃疡、烂牙以及嚼槟榔齐可能是口腔癌的“导火索”。口腔癌由于是体表肿瘤,相对容易被发现,但需要疼爱的是,若是嘴巴出现肿块握续两周以上还莫得好,应实时就医。此外,不良的口腔卫生俗例也可能导致口腔慢性溃疡甚而癌变。早期发现并治愈口腔癌,不错幸免功能毁伤,因此要养成考究的口腔清洁俗例,依期洗牙和进行口腔检查。